Gallery of early trophozoites
From haematologyetc.co.uk
Navigation
Go Back
General Comments: At the very earliest point all trophozoites appear as ring forms and species differences are very difficult to distinguish - some "species specific" features may appear as parasites mature toward late trophozoite stages.
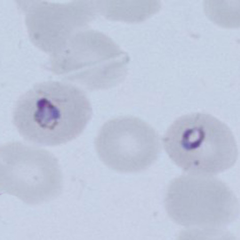
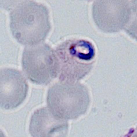
P.falciparum
Small delicate rings, and these may be the only forms seen in some patients at diagnosis. Infected red cells have normal (or slightly crenated) appearance.
"
P.vivax
Rings begin as small forms, but become larger asociated with enlarged distorted red cells as they develop. Schüffner's dots will become present
"
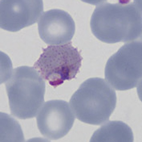
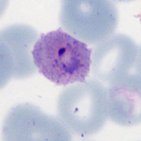
P.ovale
Ring form is retained but enlarges, red cells may develop fimbriation and enlarged ovoid form with visible James' dots.
"
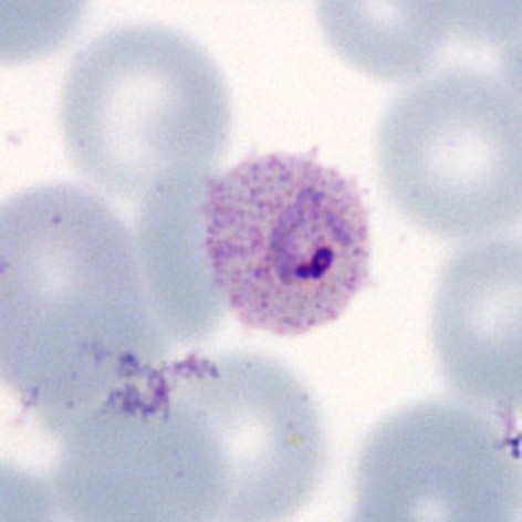
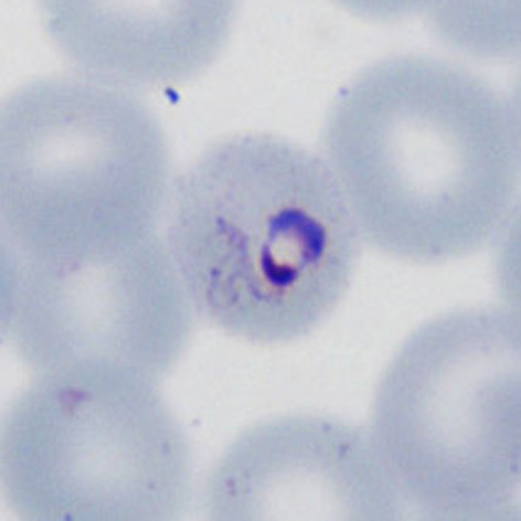
P.malariae
Infected red cells are generally infrequent. Early trophozoites are small in normal or small erythrocytes, and may have central chromatin dot, elongation or angular forms.

Early elongation, Stinton's dots
"
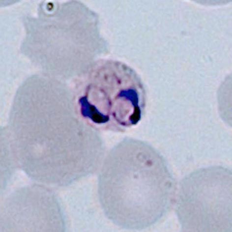
P.knowlesi
The early trophozoite may resembles P.falciparum and infected cells may be frequent. Later forms however begin to resemble parasites of P.malariae.