Actions

Biology of the trophozoite stage

From haematologyetc.co.uk


Navigation
>Main Malaria Index
>>Malaria Biology Index
>>>Current page: Biology of the trophozoite


The biology of the trophozoite stage


The starting point
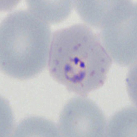
All malaria parasites appear as "ring forms" ofter they first enter the red cell and initially all species share the same features and are very difficult to distinguish. The appearance of a ring is shown below comprising a the dark chromatin dot (Chr) - this is occasionally a double dot; pale blue cytoplasm (Cyt) surrounding a central vacuole (Vac).

However, during this trophozoite stage the parasite progressively develops to allow it to eventually form a schizont or gametocyte. This require numerous changes - some of which differ between species, and are used to as features to distinguish them (see descriptions below).


Feeding
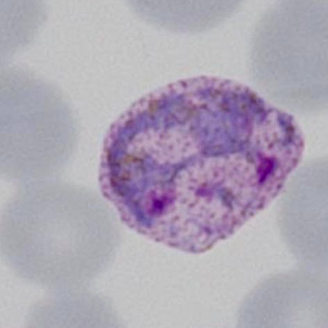
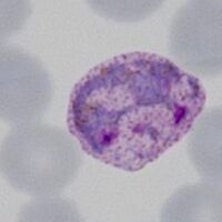
The development of the parasite requires energy and protein - the protein is acquired through the metabolism of haemoglobin. This is ongoing throughout all stages, but the effects first become apparent in the late trophozoite stage where two changes may be observed. First, the red cell changes colour compared to normal red cells as parasites metabolise the globin (protein) part of the haemoglobin molecule. As a result, red cells begin to lose haemoglobin pigment (for an appropriately stained slide this means they become paler grey). Second, the detoxification of the haem element of haemoglobin results in the formation of the parasite-produced "haemozoin" which can be seen as malaria pigment.

These changes may not be that obvious during the trophozoite stage, and the change to pallor or the appearance of the pigment may differ between species, but will generally be detected by the late trophzoite stage (shown below for a late trophozoite of P.malaria).


Communication, nutrition and immune evasion
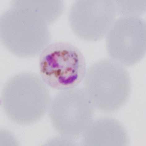
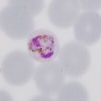
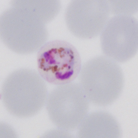
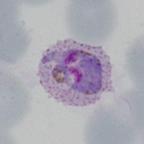
Parasites are not simply passive passengers within red cells. They require nutrition and to remove toxing. The parasites may also modify the red cell to avoid destruction by the immune system. To do this they modify the erythrocyte in a range of ways. Many of these changes are not seen by standard microscopy, but the formation of visible "dot-like" stuctures represent one such modification. Different types of cytoplasmic dots may (to a greater or lesser extent) seen in all species depending on staining characteristics. However, the best known are the Schüffner's or James' dots seen in P.vivax and P.ovale, or the Maurer's dosts and clefts of P.falciparum. The parasite images below show first the frequent pink/purple Schüffner's dots in P.vivax then Maurer's dots and clefts in P.falciparum.


Cytoskeleton and adhesion
A further red cell modification affects the red cell cytoskeleton. Like other features the nature of the changes differs between species. The purpose of the changes are not fully clear in each case, but it is clear that red cells containing parasites differ in adhesion properties when compared with uninfected cells, a change that is likely to alter their interaction with the immune system or allow them to sequester in particular compartments of the circulation. The changes to red cell size and shape are described in separate sections, and also in the "Species recognition" pages. Two particularly characteristic features, the substantial enlargement and irregularity of P.vivax and the reduced red cell size that is typical of P.malariae are shown below.