Gallery of early trophozoites: Difference between revisions
From haematologyetc.co.uk
No edit summary Tag: Reverted |
No edit summary Tag: Reverted |
||
Line 51: | Line 51: | ||
File:PKET2a.jpg|<span style="font-size:80%">Ring with dots/fimbriation</span>|link={{filepath:PKET2a.jpg}} | File:PKET2a.jpg|<span style="font-size:80%">Ring with dots/fimbriation</span>|link={{filepath:PKET2a.jpg}} | ||
File:PKET3a.jpg|<span style="font-size:80%">Ring with dots/fimbriation</span>|link={{filepath:PKET3a.jpg}} | File:PKET3a.jpg|<span style="font-size:80%">Ring with dots/fimbriation</span>|link={{filepath:PKET3a.jpg}} | ||
File: | File:PKET3.jpg|<span style="font-size:80%">Ring early ovoid change</span>|link={{filepath:PKET3.jpg}} | ||
</gallery>" | </gallery>" | ||
---- | ---- |
Revision as of 09:51, 3 June 2024
Navigation
Go Back
P.falciparum
Small delicate rings, within red cells of normal (or slightly crenated) appearance.
These may be the only forms seen in some patients at diagnosis.
Some parasite forms are typical though not exclusive of the species, these include: accolé forms, double chromatin dot forms, and multiple parasites within infected red cells.
"
P.vivax
Rings begin as small forms in normal sized red cells, but as they develop both parasites and red cells become markedly enlarged and irregular. Schuffners dots develop during this stage initially as a fine dusting but becoming more prominent.
"
P.ovale
As with the other species development begins with small forms and normal red cells; However as the species develops cahnges to red cells begin that might include finbriation, ovoid form and some enlargmnet. Similar to P.vivax the cytoplasmic James (Schuffners) dots appear initially as a fine dots but becoming more prominent as the parasites mature.
"
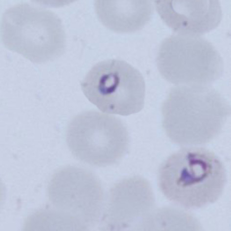
P.malariae
Generally parasites are infrequent. The very early small forms become a little more robust than P.falciparum, and may acquire features suggestive of the species that include a central chromatin dot, parasite elongation to form a band, or more solid and angular forms. Red cells have normal size and shape or may have reduced size, cytoplasmic dots should not be present (although the uncommon fine Stinton's dots may be seen).
Early elongation, Stinton's dots
"
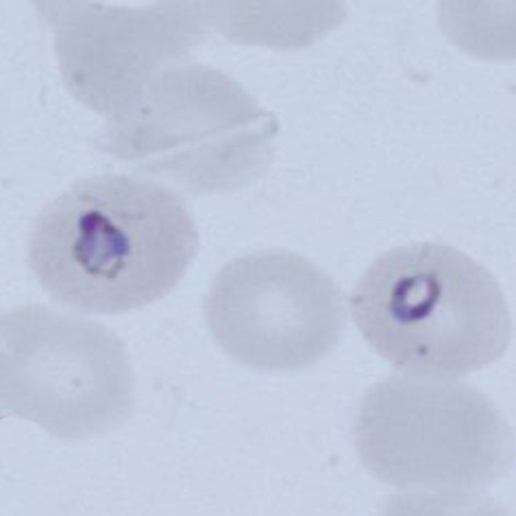
P.knowlesi
As with the other species development begins with small forms and normal red cells; However as the species develops cahnges to red cells begin that might include finbriation, ovoid form and some enlargmnet. Liek in vivax the cytoplasmic James (Schuffners) dots appear initially as a fine dots but becoming more prominent as the parasites mature.
"